[문화투데이 장은영 기자] 한국생명공학연구원은 줄기세포융합연구센터 이미옥 박사 연구팀이 인간 줄기세포 유래 뇌 오가노이드를 활용해 인간 뇌 발달 초기 과정에서 화장품과 산업 소재로 널리 쓰이는 실리카 나노입자가 미치는 영향을 규명했다고 밝혔다.
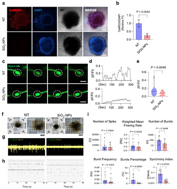
연구팀은 뇌 오가노이드가 자라는 초기 단계에 실리카 나노입자를 노출한 결과, 세포가 대량으로 죽거나 사라지는 등 외형적으로 뚜렷한 이상은 관찰되지 않았지만 뇌의 바탕이 되는 세포들의 증식이 줄어들고 도파민 신경세포로 자라는 과정이 약해지는 변화가 나타났다.
뇌 발달 과정에서 중요한 역할을 하는 세포 간 신호 전달과 신경세포 간 소통이 전반적으로 약해지고, 그 결과 신경세포들이 서로 충분히 연결되지 못하는 변화가 관찰됐다.
뇌를 보호하는 역할을 하는 세포들이 필요 이상으로 활성화되면서 염증과 관련된 신호가 증가하는 현상도 확인됐다.
이러한 변화들은 즉각적인 손상을 일으키지는 않지만 시간이 지나면서 뇌 발달의 흐름에 영향을 미칠 수 있는 '조용하지만 지속적인 변화'로 작용할 수 있다고 연구팀은 설명했다.
국가독성과학연구소 이향애 박사팀이 참여한 가운데 진행된 이번 연구는 나노물질의 영향이 단순히 세포를 죽이느냐의 문제가 아니라 뇌가 자라는 과정 자체를 미세하게 변화시킬 수 있음을 보여주며, 사람의 뇌 발달을 닮은 모델을 통해 이러한 변화를 직접 확인했다는 점에서 의미가 있다고 연구팀은 덧붙였다.
이미옥 박사는 "이번 연구는 일상에서 사용하는 물질이 세포를 죽이지 않더라도 사람의 뇌가 자라는 과정에는 영향을 줄 수 있다는 점을 보여준다"며 "앞으로 식품·화장품·환경 분야에서 나노물질의 안전성을 평가할 때 성인뿐만 아니라 태아와 어린이처럼 발달 단계에 있는 사람들을 고려해야 함을 시사한다"고 말했다.


























